簡介

電腦掃描服務

(包括冠狀動脈造影)

賢德醫療及電腦掃描影像中心 是一所備有先進電腦掃描儀器的醫學診斷中心,位於尖沙咀核心地段。我們為客戶提供高解像度、低輻射的CT電腦掃描檢查,透過X光橫切影像,快速分析體內各主要器官的結構與病變情況,包括腦部、肺部、心臟、肝膽、胰臟、腎臟及腹部等,幫助臨床醫生作出更準確診斷。

" />
優點

掃描技術與設備優勢

中心採用Siemens SOMATOM Force 第三代雙源極速電腦掃描系統,有別於傳統CT,具備以下優點:

  • 更短掃描時間,僅需數秒完成整個檢查
  • 更低輻射劑量*,減少對身體的負擔
  • 更少顯影劑用量*,特別適合有腎功能問題的患者
  • 圖像更清晰穩定,即使心跳較快也能捕捉清晰心臟影像

*只限於特定情況下

" />
重點服務

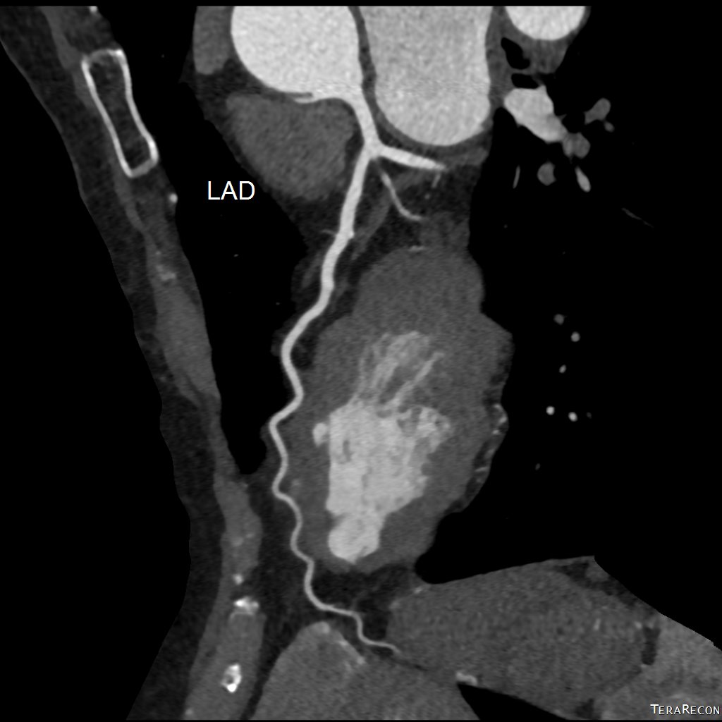
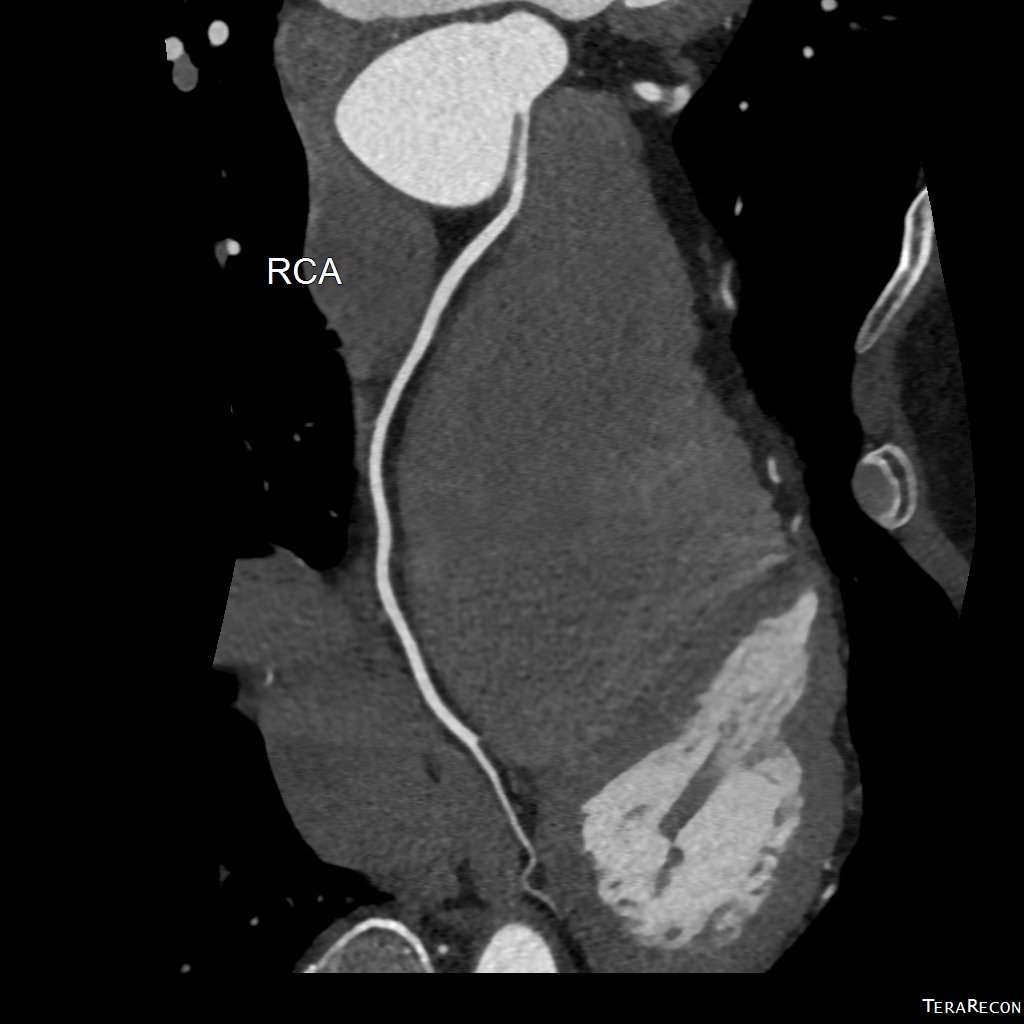
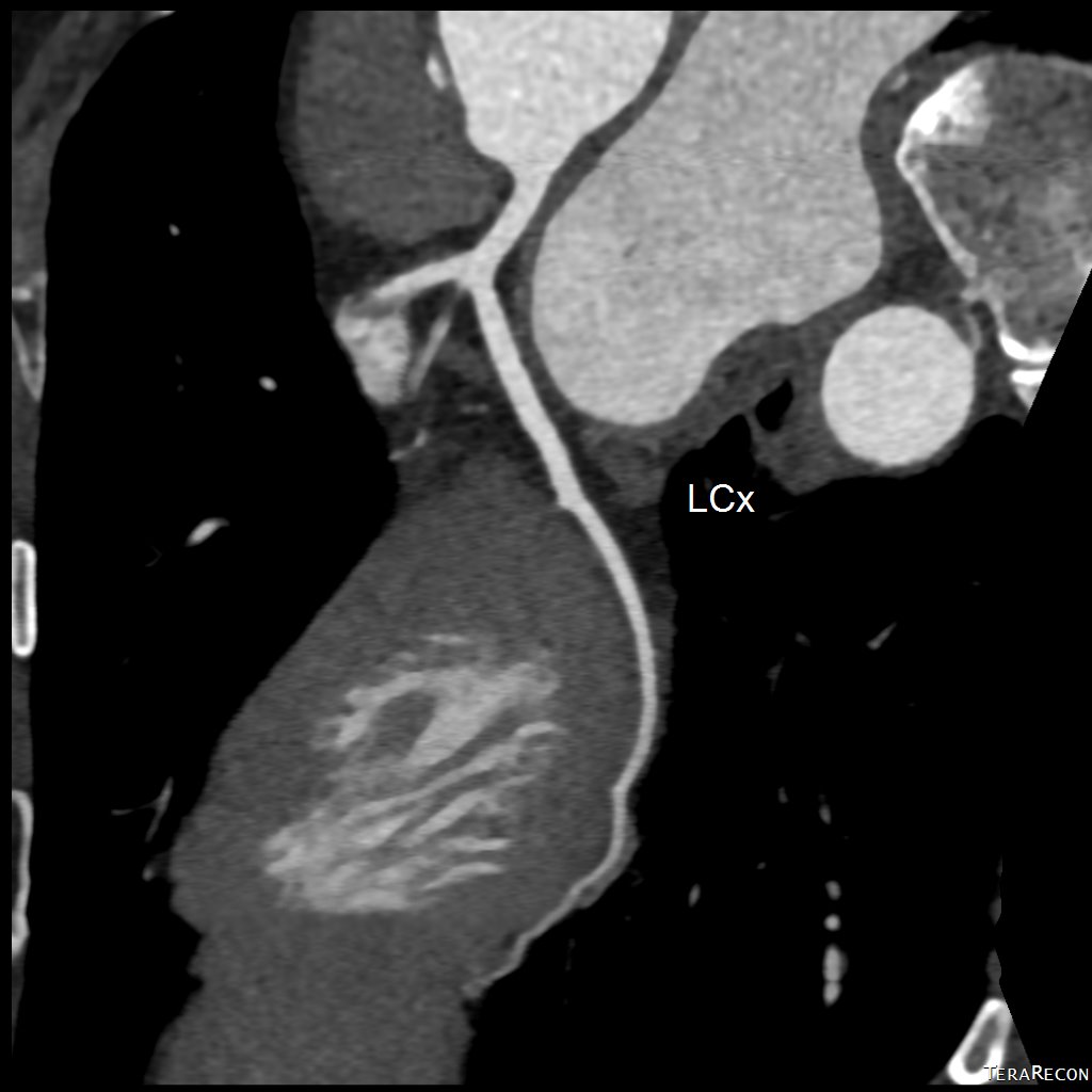
冠狀動脈電腦掃描造影
(CT Coronary Angiogram)

冠狀動脈CT造影 是目前評估心血管疾病風險的重要非入侵性工具,可:

  • 清楚顯示冠狀動脈有否出現狹窄、阻塞或鈣化
  • 為懷疑有心絞痛或心肌缺血的患者提供早期診斷依據
  • 協助心臟科醫生決定是否需進一步介入性治療,如通波仔(PCI)

建議接受此檢查的人士:

  • 45歲以上男性,或55歲以上/已停經女性
  • 心臟病家族史
  • 高血壓、高膽固醇或糖尿病
  • 吸煙或曾吸煙人士
  • 缺乏運動、生活壓力大
" />
" />
" />
其他

其他常見CT掃描項目包括

  • 腦部CT:用於評估中風、腦出血、腦腫瘤或創傷
  • 胸肺CT:用於篩查肺癌、肺炎、肺栓塞
  • 腹部/盆腔CT:檢查肝臟、膽管、胰臟、腎臟、腸道等器官
" />
賢德醫療中心

爲什麽選擇賢德醫療?

  • 採用尖端技術,影像速度更快、更安全、更精準
  • 經驗豐富的放射科醫師和心臟科醫師團隊
  • 位於尖沙咀,環境舒適便利
  • 與院內其他診斷及治療服務全面整合

服務地點:

" />
" />